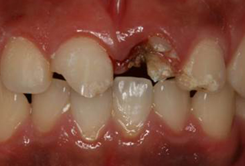
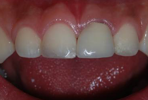
CASE
18-03-22 | 파절

본문

 

Before
After

파절