CASE
18-03-22 | 교정 정출

본문

 

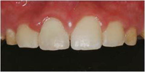
Before
After

교정정출


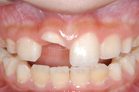
중간과정 ▼


ef0beece7b5337d778a3f80d638bb281_1526125822_0548.JPG